– Big Smile Dental Clinic Team
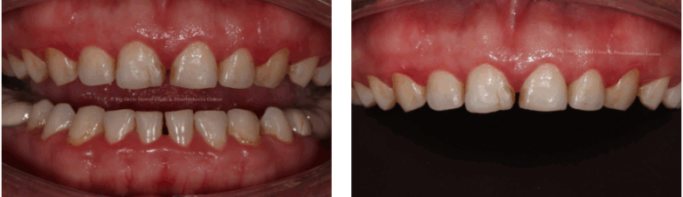
At Big Smile Dental Clinic & Prosthodontic Center, we often meet patients who have completed orthodontic (braces) treatment but still feel their smiles are not quite what they envisioned. One such patient came to us recently, referred by her orthodontist from a different clinic, for cosmetic gum reshaping (crown lengthening).
Her concern
Although her teeth were well-aligned after orthodontic treatment, she felt that her smile still lacked confidence. Her teeth looked short and hidden due to excess gum coverage. This left her hesitant to smile freely.
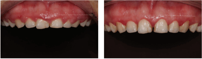
After a thorough evaluation, we recommended crown lengthening with gum reshaping. To ensure precision, we performed a digital smile analysis and made exact measurements using a custom guide. This helped us plan the ideal proportion of her teeth for a natural and aesthetic outcome.
We began with a digital analysis to evaluate the ideal tooth length and symmetry for her face. This ensured we weren’t just reshaping her gums, but creating harmony between her teeth, lips, and smile.
Based on the digital plan, a customized guide was created. This served as a blueprint during the procedure, showing exactly how much gum needed to be removed for a balanced, aesthetic look.
Using electrocautery, we carefully trimmed and contoured the gum tissue. Unlike traditional methods, this method has several advantages like high precision in shaping, reduced bleeding and swelling, faster healing compared to conventional techniques.
Once reshaping was complete, we compared the result with the digital design to ensure everything matched perfectly. Small refinements were made to enhance symmetry and proportions before finalizing the procedure.
The change was visible immediately. Her teeth appeared longer, more defined, and naturally proportionate. But the real transformation was in her expression—she couldn’t stop smiling. After years of feeling self-conscious, she finally had the confidence she deserved.
A week later, the patient returned for her follow-up appointment. Healing was smooth, and she reported only mild discomfort in the first couple of days. Thanks to electrocautery, there was minimal swelling, and her gums were adapting beautifully to their new shape
We also noticed that one of her older fillings was slightly mismatched in color compared to her newly enhanced smile. We advised her to replace it with a natural, tooth-colored restoration so her teeth would look flawless and consistent in shade.
Before she left, we shared oral hygiene tips for maintaining her gums and encouraged regular dental visits for long-term results. She was thrilled with the transformation both in appearance and confidence.
We believe that dentistry is about more than teeth, it’s about creating smiles that radiate confidence. With digital planning, modern technology, and skilled expertise, we provide results that are not only precise but also life-changing.
“Ready to transform your smile? Book a Digital Smile Analysis at Big Smile Dental Clinic & Prosthodontic Center today.”




