Transforming into Beautiful Smile with Dental Ceramic Veneers

To get more information about this case please read full article in BLOG section of the website or click on this link: https://bigsmiledentalclinicnepal.com/transforming-into-beautiful-smile-with-dental-ceramic-veneers/

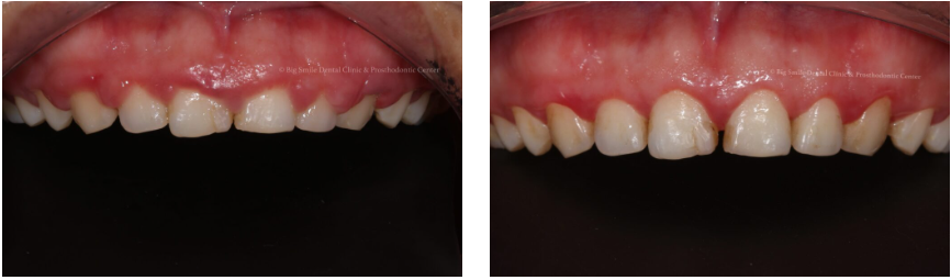
Revitalize Your Smile: The Importance of Replacing Old Defective Anterior Teeth Composite Fillings

Before

After

To get more information about this case please read full article in BLOG section of the website or click on this link: 

Revitalize Your Smile: The Importance of Replacing Old Defective Anterior Teeth Composite Fillings

RESTORE MISSING TOOTH FUNCTION WITH DENTAL IMPLANTS IN KATHMANDU, NEPAL

To watch video of this case visit our Youtube Channel ” Big Smile Dental Clinic” or click this link below

To get more information about this case please read full article in BLOG section of the website or click on this link: 

Restore Your Missing Tooth Function with Dental Implant Function.

AESTHETIC UPGRADE: FROM PFM TO ZIRCONIA CROWNS IN KATHMANDU, NEPAL

To get more information about this case please read full article in BLOG section of the website or click on this link: 

“Transform Your Smile: The Aesthetic Upgrade from Porcelain-Fused-to-Metal (PFM)crowns to Zirconia Crowns”

Transforming Smiles with Ceramic Veneers: From discolored to non-discolored teeth

To get more information about this case please read full article in BLOG section of the website or click on this link: 

Transforming Smiles with Ceramic Veneers: From discolored to non-discolored teeth

A New Smile in Kathmandu: A Patient’s Journey with All-on-4 Implants / Fast & Fixed Dental Implants

To get more information about this case please read full article in BLOG section of the website or click on this link:

A New Smile in Kathmandu: A Patient’s Journey with All-on-4 Implants / Fast & Fixed Dental Implants

Tired of Discolored Teeth? Discover Dental Crowns

To get more information about this case please read full article in BLOG section of the website or click on this link:

Tired of Discolored Teeth? Discover Dental Crowns

To watch a video of this case please click on YouTube logo.

JOURNEY OF A BEAUTIFUL GIRL’S SMILE MAKEOVER in Kathmandu, Nepal

To get more information about this case please read full article in BLOG section of the website or click on this link:

JOURNEY OF A BEAUTIFUL GIRL’S SMILE MAKEOVER IN KATHMANDU, NEPAL

PURSUIT OF THE PERFECT SMILE IN KATHMANDU, NEPAL: A PATIENT JOURNEY WITH PORCELAIN VENEERS

To get more information about this case please read full article in BLOG section of the website or click on this link:

Pursuit of the Perfect Smile in Kathmandu, Nepal: A Patient Journey with Porcelain Veneers

PORCELAIN VENEERS IN KATHMANDU, NEPAL – A QUICK SOLUTION FOR GAPS AND AESTHETIC CONCERNS

To get more information about this case please read full article in BLOG section of the website or click on this link:

Porcelain Veneers in Kathmandu, Nepal – A Quick Solution for Gaps and Aesthetic Concerns

SMILE RESTORED IN 24 HOURS: GUIDED DENTAL IMPLANTS IN KATHMANDU, NEPAL

To get more information about this case please read full article in BLOG section of the website or click on this link:

Smile Restored in 24 Hours: Guided Dental Implants in Kathmandu, Nepal

ANTERIOR ORTHODONTICS

To get more information about this case please read full article in BLOG section of the website or click on this link:

ANTERIOR ORTHODONTICS – in Kathmandu, Nepal

A PERFECT SMILE IN JUST 90 MINUTES! WITH NO-PREP VENEER IN KATHMANDU, NEPAL.

To get more information about this case please read full article in BLOG section of the website or click on this link:

A Perfect Smile in Just 90 Minutes! With No-Prep Veneer in Kathmandu, Nepal.

DOES EVERY DECAYED TOOTH NEED A ROOT CANAL TREATMENT (RCT)? – REAL TOOTH-SAVING CASE IN KATHMANDU, NEPAL

To get more information about this case please read full article in BLOG section of the website or click on this link:

Does Every Decayed Tooth Need a Root Canal Treatment (RCT)? – Real Tooth-Saving Case in Kathmandu, Nepal

Gapped teeth correction with veneers within 24 hours- Kathmandu

To get more information about this case please read full article in BLOG section of the website or click on this link:

Gapped teeth correction with veneers within 24 hours- Kathmandu

How a 63-Year-Old Got His Confident Smile Back in Kathmandu with Modern Dental Treatment

To get more information about this case please read full article in BLOG section of the website or click on this link:

How a 63-Year-Old Got His Confident Smile Back in Kathmandu with Modern Dental Treatment

From Hiding His Smile to Living with Confidence: A Big Smile Transformation Story with Zirconia crown in Kathmandu, Nepal

Before

After

To get more information about this case please read full article in BLOG section of the website or click on this link:

From Hiding His Smile to Living with Confidence: A Big Smile Transformation Story with Zirconia crown in Kathmandu, Nepal

Fractured Front Tooth After Root Canal Treatment: A Guided Dental Implant Case in Kathmandu, Nepal

Before

                                             After

To get more information about this case please read full article in BLOG section of the website or click on this link:

Fractured Front Tooth After Root Canal Treatment: A Guided Dental Implant Case in Kathmandu, Nepal

Digital Full Mouth Zirconia Crowns in Kathmandu, Nepal: A Journey from Dental Failure to a Radiant “Big Smile”

To get more information about this case please read full article in BLOG section of the website or click on this link:

Digital Full Mouth Zirconia Crowns in Kathmandu, Nepal: A Journey from Dental Failure to a Radiant “Big Smile”

Transforming Smiles with Gum Reshaping in Kathmandu, Nepal

To get more information about this case please read full article in BLOG section of the website or click on this link:

Transforming Smiles with Gum Reshaping in Kathmandu, Nepal

Saving Your Tooth in Kathmandu: Why a “Deep Cavity” Doesn’t Always Mean a Root Canal Treatment

To get more information about this case please read full article in BLOG section of the website or click on this link:

Saving Your Tooth in Kathmandu: Why a “Deep Cavity” Doesn’t Always Mean a Root Canal Treatment

Add Your Heading Text Here

To get more information about this case please read full article in BLOG section of the website or click on this link:

Laser Teeth Whitening in Kathmandu, Nepal

Scroll to Top