
Big Smile Dental Clinic & Prosthodontic Center Pvt. Ltd.

Big Smile Dental Clinic & Prosthodontic Center Pvt. Ltd.
– Big Smile Dental Clinic
Have you ever looked in the mirror and wished your smile was just a few shades brighter? Whether it’s from that essential cup of morning Himalayan coffee, tea, or just the passage of time, tooth discoloration happens to the best of us.
At Big Smile Dental Clinic & Prosthodontic Center, we recently helped a patient achieve a stunning transformation that left them beaming with confidence. Today, we’re taking you behind the scenes of our Laser Teeth Whitening process to show you why this isn’t just a dental procedure—it’s a lifestyle upgrade.
While there are many “DIY” kits out there, nothing compares to the precision and safety of a professional laser treatment in a clinical setting. Here’s why our patients in Kathmandu are making the switch:
Speed: Forget wearing trays for weeks. You can walk out with a noticeably whiter smile in under an hour.
Reduced Sensitivity: Our advanced laser technology targets stains specifically, minimizing the “zingers” often associated with older whitening methods.
Deep Action: The laser energy activates the whitening gel at a molecular level, lifting deep-set stains that brushing alone can never reach.
Long-Lasting Results: When done professionally, the results are more uniform and durable.
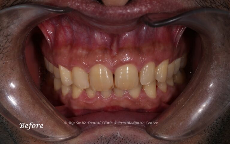
We believe in transparency, which is why we’ve documented the journey. Below, you’ll see the actual progression of a recent successful case.
We start by recording your initial shade. Every smile is unique, and we tailor the intensity to ensure a natural, brilliant look.
After protecting your gums, we apply a professional-grade whitening gel. Our specialists ensure every contour of your teeth is covered for an even finish.
This is where the magic happens! The laser is calibrated to activate the gel, gently breaking down pigments without damaging the enamel. It’s painless, fast, and highly effective.
The best part of our job is handing over the mirror. Our recent patient was thrilled to see a transformation that was both dramatic and sophisticated.
Don’t let a dull smile hold you back from your next big meeting, wedding, or social gathering. Experience the best dental technology right here in Maharajgunj, Kathmandu.
Visit us today and let’s get you glowing!