
Big Smile Dental Clinic & Prosthodontic Center Pvt. Ltd.

Big Smile Dental Clinic & Prosthodontic Center Pvt. Ltd.
– Big Smile Dental Clinic Team
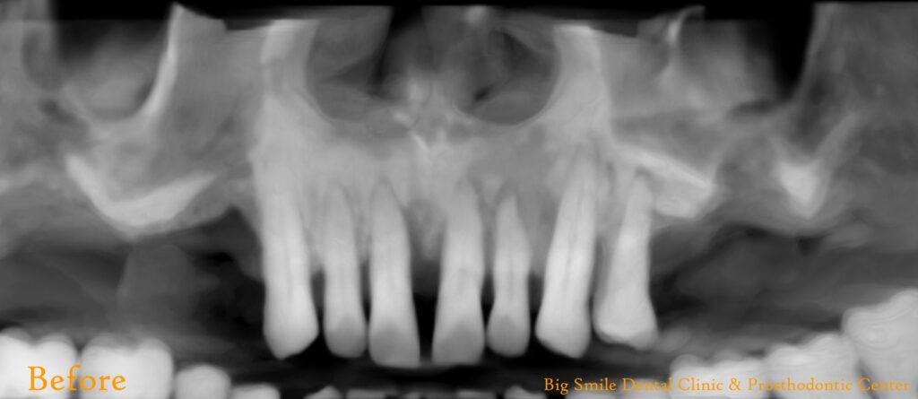
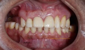
A 50-year-old male patient from New Zealand arrived at our clinic seeking to replace his upper teeth. He had recently returned to Nepal for a 20-day visit and had already explored treatment options at other dental facilities. Unsatisfied with both the proposed treatment plans and the costs, he came to us with his desires and expectations. We listened attentively, taking careful note of his needs. He had already had X-rays taken at the request of a previous dentist.
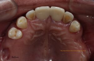
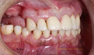
On his first visit, we performed a thorough examination of his teeth and gums. He had upper back teeth missing and remaining upper front teeth were mobile, whereas his lower teeth were not mobile but required gums treatment. We explained his condition of oral hygiene and treatment required. We presented him with all available options, including removable and fixed prostheses. He opted for a fixed prosthesis with upper arch replacement using 4 dental implants (All-on-4). We also discussed different implant brands and types, and he selected Bredent Copasky implants (Fast & Fixed). Additionally, we offered various prosthetic options for permanent prosthesis, and he chose a hybrid denture.
We meticulously explained the treatment stages, timeframe, and total cost involved. Satisfied with our transparent and reasonable plan, he readily agreed to proceed.
Fig: Pre-operative extra-oral, intra-oral photographs and X-ray
It is a method that utilizes just four implants to replace a full arch of upper or lower teeth. This option is ideal for patients with significant tooth loss or severely loose teeth who desire immediate, fixed replacements.
Here are the key benefits of All-on-4 implants:
We then took measurements to create a diagnostic model, captured photographs, did scaling on lower arch and used virtual 3D planning to determine the optimal placement and size for the implants. On next day, following routine blood tests for the surgical procedure, we proceeded with the implant placement after removing his remaining upper teeth. Remarkably, on the same day, we were able to provide him with fixed temporary teeth. This 4-hour procedure was painless and uneventful, leaving him comfortable and with a full set of teeth.
Fig: Immediately after implant placement, Temporary immediate denture and Post- operative photograph immediately after surgery.
Two days later, he returned for a follow-up appointment where everything looked normal, allowing him to return to his hometown in Nepal. After 15 days, he visited us again before departing for New Zealand, scheduling a follow-up visit for his permanent hybrid denture in six months.
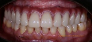
Upon his return six months later, we examined the implants and temporary denture, finding everything in excellent condition. We then proceeded with the fabrication of the final permanent hybrid denture prosthesis, which was completed within ten days. The result was highly satisfying and aesthetically pleasing. The patient left our Big Smile Dental Clinic & Prosthodontic Center extremely happy with the treatment and services he received.
Fig: Post-operative photograph after Permanent hybrid denture placement
This case report details a patient’s experience getting All-on-4 dental implants in Kathmandu. The patient, a 50-year-old man from New Zealand, sought a fixed solution for his missing upper teeth. After consultations with other clinics, he came to Big Smile Dental Clinic where he received a personalized treatment plan using All-on-4 implants. The case highlights the benefits of All-on-4 implants, including same-day temporary teeth, and details the treatment process from initial consultation to permanent denture placement. The patient was very satisfied with the outcome.