
Big Smile Dental Clinic & Prosthodontic Center Pvt. Ltd.

Big Smile Dental Clinic & Prosthodontic Center Pvt. Ltd.
– Big Smile Dental Clinic Team
At Big Smile Dental Clinic & Prosthodontic Center, located in the heart of Kathmandu, Nepal, we believe a “Big Smile” shouldn’t just be beautiful, it must be built to last. Recently, we helped a patient turn a frustrating, costly dental failure into a success story, proving why specialized prosthodontic care and advanced technology matter.
Our patient, a middle-aged gentleman living abroad, came to us with a heavy heart. He had originally sought a whiter, more youthful and “Hollywood” smile to correct naturally short and yellowish teeth. He invested heavily in 16 ceramic veneers at a foreign clinic, but the results were devastating:
Imagine the frustration of investing your time and trust into a smile, only to have it literally crumble within weeks. Having lost confidence in his initial clinic, he searched for a specialist clinic. That search led him to our expert team here in Kathmandu.
When he arrived at Big Smile Dental Clinic, our priority was restoring his peace of mind. As Specialists in Prosthodontics, we didn’t just look at his teeth; we looked at his bite, his facial symmetry, and his unique dental history.
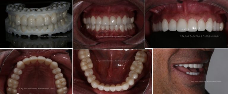
While we initially discussed more conservative options—such as ceramic onlays or new veneers, which can be highly successful when performed correctly—the patient’s previous trauma with failing veneers led him to seek the maximum strength and stability of Full Mouth Zirconia Crowns. To ensure a flawless result, we utilized our state-of-the-art Digital Workflow:
We planned his entire look on a screen before even touching a tooth, allowing him to see the predicted outcome.
We used digital precision to create comfortable temporary crowns while his permanent Zirconia ones were crafted.
Each crown was created using CAD/CAM (Computer-Aided Design and Computer-Aided Manufacturing) technology. This ensured that every restoration was digitally mapped and milled for a perfect, precision fit that matches the natural contours of the patient’s smile.
Using OccluSense, we digitally analyzed his bite to ensure his new teeth wouldn’t just look good, but would function perfectly without any heavy pressure points.
It offers:
The result was a total transformation. Using advanced equipment and digital consistency, we gave him the stable, radiant smile he had dreamed of for years.
Whether you are a local resident or an international traveler seeking affordable, world-class dental care in Nepal, Big Smile Dental Clinic is your destination for excellence. We don’t just fix teeth; we rebuild confidence through technology and expertise.
“He didn’t just get his teeth back; he got his life back. Seeing that joy is exactly why we invested in the best digital technology in the world.”
Don’t settle for “quick fixes.” If you are struggling with dental issues or want a cosmetic upgrade, visit the leading Prosthodontic center in Kathmandu, Nepal.