– Big Smile Dental Clinic Team
Imagine being a patient with a discolored front tooth. The patient’s self-esteem and confidence takes a hit due to such circumstances and they generally long for a solution that blends seamlessly with their natural teeth. Such was the case of our patient who came to our clinic longing for solution to this problem
Patient's background:
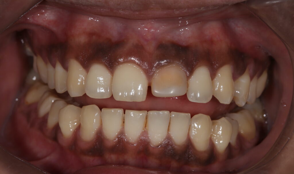
A 31 year old male patient visited our clinic whose once-vibrant smile now carried the mark of dental history. His prime concern was of a front discolored tooth which was previously RCT treated. He had recently landed in Nepal from Australia and was seeking the best dental service to rectify his problem. He was made aware about our clinic by a patient who was really satisfied with our work and took no time in booking an appointment at the earliest.
The patient expressed deep desire to be able to smile and laugh without any hesitation and mentioned various incidences on how a discolored tooth held him back during various major occasions and incidences therefore halting his confidence and stature.
On closer inspection by our well experienced and dedicated team of doctors, it was found that his front tooth had discolored to such an extent that it highlighted itself among all other teeth, but not in a good way. Our doctors developed a well-versed treatment plan which included multi visit process.
First visit:
On the first visit, we acknowledged the problem of the patient and thoroughly examined his teeth, took X-ray and found that it was previously RCT treated (it is common for a tooth to get discolored after RCT). For the treatment of discolored tooth there are various options like Non-vital bleaching, Crowns, Veneers. Also, we noticed that the tooth was not only discolored but it was comparatively smaller than the adjacent tooth, so only bleaching couldn’t have solved the problem. Taking this into consideration, we chose the best treatment plan for the patient, i.e. ZIRCONIA CROWN (to make the size and shape of the tooth similar to the adjacent one)
On this day, we took his extra oral and intra oral pictures to study about his case and make a digital planning on a software.
Digital planning:
Digital planning in cosmetic dentistry revolutionizes the way treatments are planned and executed, ensuring higher precision, better patient communication, and more predictable results. The collected data from photographs were integrated into the dental planning software. We designed and simulated the smile design adjusting the shape, size and position of the tooth. While planning, we showed 2 possible outcomes to the patient.
Option 1: A small gap can be noticed between the front two teeth when we designed the crown with equal dimension of the adjacent teeth
Option 2: We slightly enlarged the adjacent teeth as well to avoid the gap and make it look natural
Second visit:
We presented the digital planning to the patient and the patient chose the second option and he was actually excited to start the treatment. So, we filled the adjacent tooth with tooth colored cement so that there won’t be gap between the crown and adjacent tooth. We did a minimal preparation on the discolored tooth to create space for the crown. After the tooth was prepared, we made an impression (measurement) using precise techniques to capture the exact dimensions and contours of the prepared teeth for the fabrication of Zirconia crown. The tooth shade was selected using a shade guide. Finally, we prepared a temporary crown for him and cemented to the prepared tooth just for the time being until the final crown was ready.
Third visit:
We scheduled the final appointment after the crown was delivered. The final crown was evaluated for fit and aesthetics, with any necessary adjustments made to ensure the best possible outcome. We temporarily placed the crown in position to allow the patient to compare the color as well as shape and size of the crown with the adjacent teeth and he was quite satisfied with the crown (If further adjustments had to be done, one more visit had been added). With the patient’s approval, we bonded the crown to the teeth using high-quality adhesive materials to his prepared tooth.
Final look:
Here’s the final result of how the zirconia crown masked the discoloration and mimicked the size and shape of adjacent tooth. The patient was completely satisfied with how the final look turned out.
We provided him with proper instructions of how to take care of his oral hygiene and the crown.
Follow up visit:
After a week, we did a quick follow up checkup and made sure everything was fine.
Summary:
Smile is the essence of beauty and confidence. Fortunately, dental crowns offer an effective solution to restore the natural appearance and function of your teeth. When discoloration threatens a smile, zirconia steps in, masking imperfections and revealing a brighter, happier you. The entire procedure is painless and smooth. So, if you are hiding your smile because of any defect or discoloration, we can help you smile with pride. We understand that choosing the right dental care provider is a crucial decision for you and your family. We are dedicated to offering exceptional dental care that goes beyond routine treatments and what sets us apart from other dental clinics is patient satisfaction is our utmost priority.
If you have any queries or want to schedule an appointment with us, feel free to contact us.








